Qulağı ağrayan məktəbli qızın - BEYNİNDƏ...

Qulağı ağrayan məktəbli qızın - BEYNİNDƏ... Hadisə

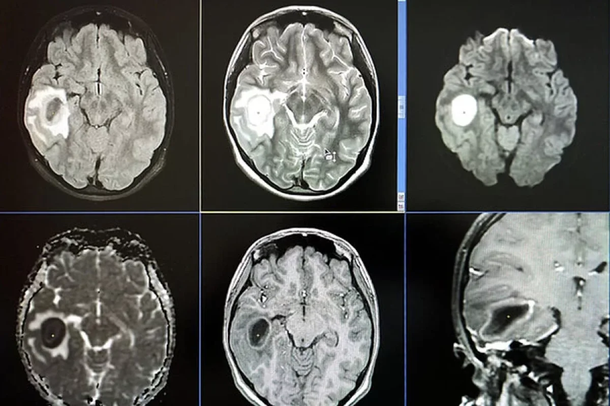
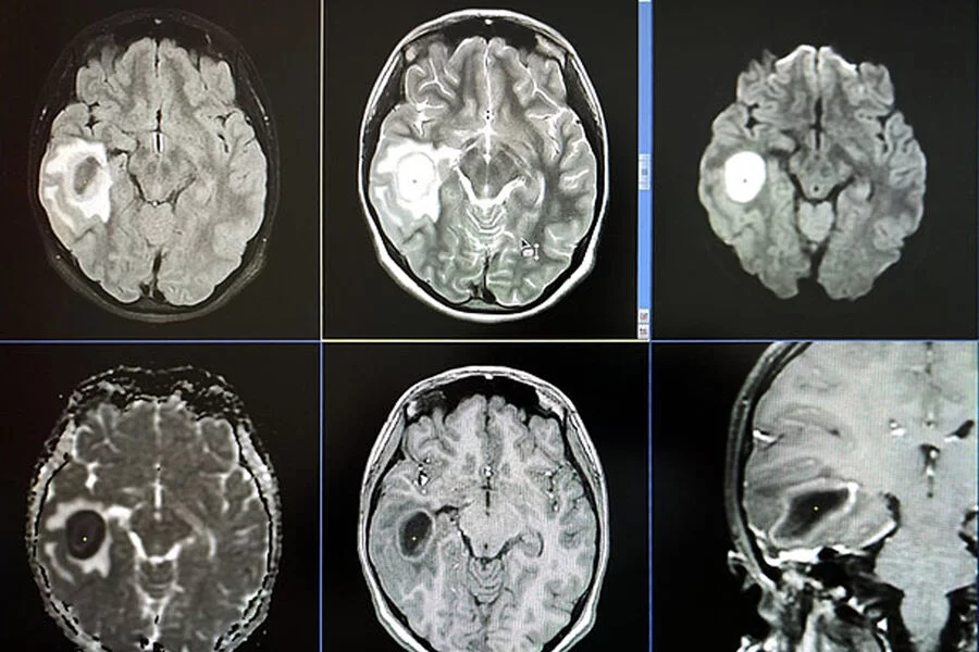
13 yaşlı qız qulaq ağrısı şikayəti ilə uşaq poliklinikasına müraciət edib.

News24.az bildirir ki, bu barədə regional Səhiyyə Nazirliyinin mətbuat xidmətindən məlumat verilib. Ona müalicə təyin olunduqdan sonra qızın hərarəti 38 dərəcədən yuxarı qalxıb və halı pisləşib. 

Onun müalicəsi müsbət nəticə vermədiyindən xəstə qıza MRT təyin olunub. Qızın beynində irin aşkar olunub. 

Bundan sonra həkimlər qızın üzərində cərrahiyyə əməliyyatı aparıblar və bu əməliyyat zamanı irinli iltihabı aradan qaldırıblar və bununla da uşağın həyatını xilas ediblər.

Zəhraxanım Şeydayeva