Koronavirusa yoluxan insanın ciyərlərinin halı
Dünya
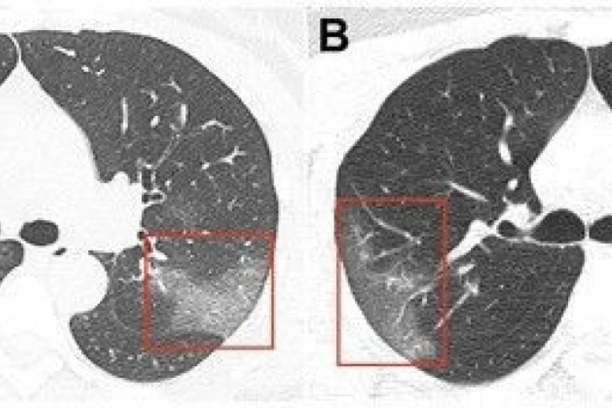
Çin həkimləri koronavirusa yoluxmuş şəxsin ağciyərlərinin şəkillərini nümayiş etdiriblər.
News24.az xəbər verir ki, dərc edilmiş şəkillər Çinin Lançjou şəhərində 39 dərəcə temperaturla xəstəxanaya yerləşdirilmiş 33 yaşlı qadının kompüter tomoqrafiyasıdır.
Birinci şəkildə görünən "tutqun şüşə effekti” üç gün sonra çəkilmiş ikinci şəkildə daha da artır.
Bu fotolar tibb aləminə virusu müəyyən etməkdə yardımçı olacaq.
News24.az xəbər verir ki, dərc edilmiş şəkillər Çinin Lançjou şəhərində 39 dərəcə temperaturla xəstəxanaya yerləşdirilmiş 33 yaşlı qadının kompüter tomoqrafiyasıdır.
Birinci şəkildə görünən "tutqun şüşə effekti” üç gün sonra çəkilmiş ikinci şəkildə daha da artır.
Bu fotolar tibb aləminə virusu müəyyən etməkdə yardımçı olacaq.